Vai al contenuto
  • Benvenuto su ODONTOline.it - Forum per Odontoiatri

    Benvenuto su ODONTOline, Network dedicato all’Odontoiatria.
    Registrandoti ora avrai accesso a tutte le funzionalità della piattaforma. Potrai creare discussioni, rispondere, utilizzare il sistema di messaggistica privata, inviare messaggi di stato, configurare il tuo profilo... Se già sei un utente registrato, Entra - altrimenti Registrati oggi stesso!

Periimplantiti: Terapia Ossea Resettiva


Giacomo Tarquini

Risposte migliori

Giacomo Tarquini
STAFF

Viene presentato un caso clinico di una periimplantite affrontato mediante terapia ossea resettiva.

 

post-109-13532629920_thumb.jpg.ba0642eea2847818b72330f5c41d9bd9.jpg

 

post-109-13532629921_thumb.jpg.25887e46e944bef653b2de1ede85691a.jpg

Modificato da Giacomo Tarquini
Link al commento
Condividi su altri siti

Giacomo Tarquini
STAFF

La compliance del paziente prima della chirurgia e' molto bassa e sara' opportunamente corretta prima della fase chirurgica.

 

Il paziente presenta limitazioni della manualita' derivanti da un pregresso infarto cerebrale.

 

post-109-13532627220_thumb.jpg

 

post-109-13532627231_thumb.jpg

 

post-109-13532627232_thumb.jpg

Modificato da Giacomo Tarquini
Link al commento
Condividi su altri siti

Giacomo Tarquini
STAFF

Il giorno dell' intervento le condizioni di igiene orale sono sicuramente migliorate pur non raggiungendo ancora livelli ottimali.

 

Accesso mediante lembo mucoperiosteo:

 

post-109-13532627600_thumb.jpg

 

post-109-13532627601_thumb.jpg

Modificato da Giacomo Tarquini
Link al commento
Condividi su altri siti

Giacomo Tarquini
STAFF

Debridement del difetto mediante strumenti manuali e ultrasonici con inserti dedicati e decontaminazione della superficie implantare  mediante applicazione topica di Ambramicina

 

post-109-13532628040_thumb.jpg

 

post-109-13532628051_thumb.jpg

Modificato da Giacomo Tarquini
Link al commento
Condividi su altri siti

Giacomo Tarquini
STAFF

Implantoplastica e rimodelllamento della cresta ossea 

 

post-109-13532628490_thumb.jpg

 

post-109-13532628491_thumb.jpg

Modificato da Giacomo Tarquini
Link al commento
Condividi su altri siti

Giacomo Tarquini
STAFF

Posizionamento apicale del lembo suturato con poliestere 5-0

 

post-109-13532628760_thumb.jpg

Modificato da Giacomo Tarquini
Link al commento
Condividi su altri siti

Giacomo Tarquini
STAFF

Al primo FU si rilevano i valori di BoP, PI e PPD e si prendono RX periapicali.

 

L' igiene orale del paziente, nonostante le sue oggettive limitazioni manuali, e' al momento soddisfacente e dovra' essere mantenuta nel tempo

 

post-109-13532629240_thumb.jpg

 

post-109-13532629241_thumb.jpg

 

post-109-13532629242_thumb.jpg

Modificato da Giacomo Tarquini
Link al commento
Condividi su altri siti

Giacomo Tarquini
STAFF

Indici di placca e sanguinamento modificati mPlI e mBlI (Mombelli 1987)

 

post-109-13532629560_thumb.jpg

Modificato da Giacomo Tarquini
  • Mi Piace 1
Link al commento
Condividi su altri siti

  • 4 settimane dopo...
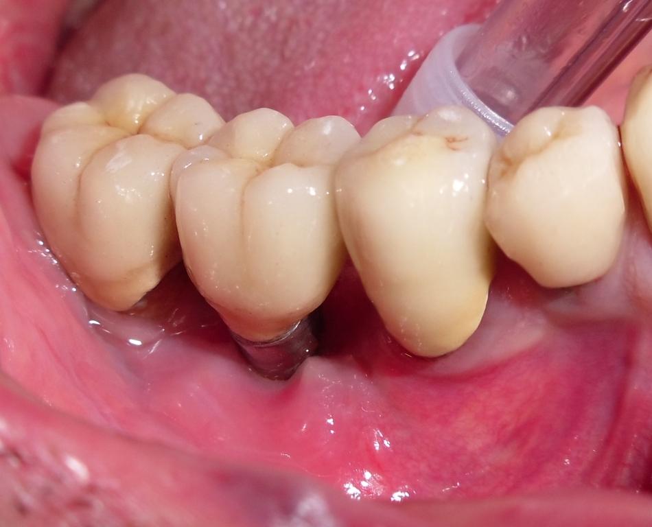
Giacomo Tarquini
STAFF

Aggiorno il thread con la foto dell' ultimo controllo.

 

Il mantenimento da parte del paziente - nonostante la manualita' limitata - e' soddisfacente, cosi' come le condizioni dei tessuti molli.

post-729-0-97956400-1355597310_thumb.jpg

Link al commento
Condividi su altri siti

Crea un account o accedi per lasciare un commento

Devi essere registrato per lasciare un commento

Crea un account

Iscriviti per un nuovo account nella nostra comunità. È facile!

Registra un nuovo account

Accedi

Sei già registrato? Accedi qui.

Accedi Ora
  • Informazioni sulla vita del Forum

    07/30/02 17:10
    Data di nascita del Forum
    23 anni, 6 mesi, 17 giorni, 16 ore e 25 minuti
    Il Forum esiste da
×
  • Crea Nuovo...