Vai al contenuto
  • Benvenuto su ODONTOline.it - Forum per Odontoiatri

    Benvenuto su ODONTOline, Network dedicato all’Odontoiatria.
    Registrandoti ora avrai accesso a tutte le funzionalità della piattaforma. Potrai creare discussioni, rispondere, utilizzare il sistema di messaggistica privata, inviare messaggi di stato, configurare il tuo profilo... Se già sei un utente registrato, Entra - altrimenti Registrati oggi stesso!

Sinus Lifting E Pseudocisti Antrale


Giacomo Tarquini

Risposte migliori

Giacomo Tarquini
STAFF

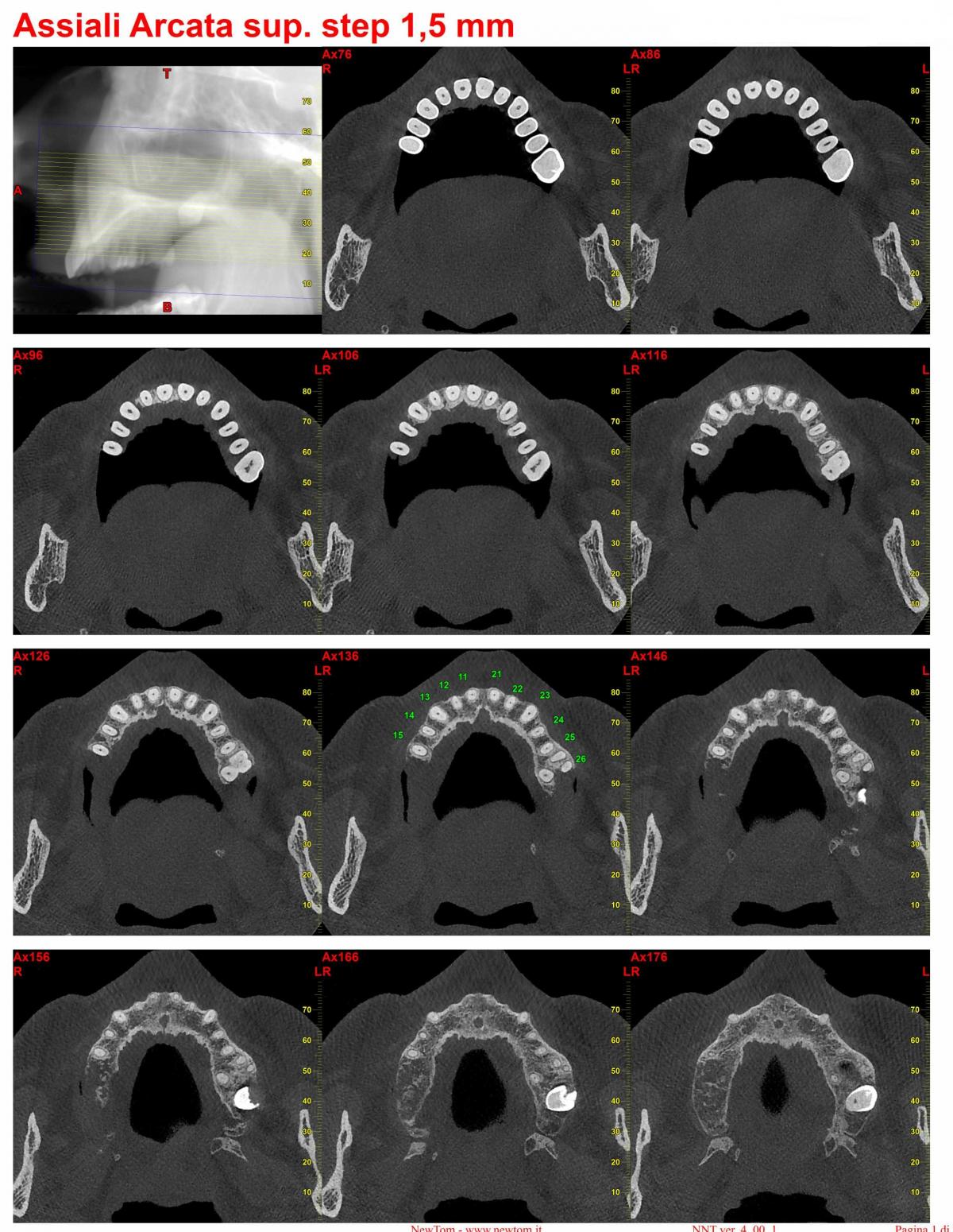
La repertazione radiologica di patologie a carico della membrana di Schneider durante la valutazione del paziente candidato a rialzo del seno mascellare pone l' interrogativo se tali condizioni rappresentino una contrindicazione all' intervento.

 

Nel caso che segue mostrero' un rialzo del seno mascellare effettuato in presenza di una pseudocisti antrale.

 

Radiograficamente la pseudocisti si riconosce per la classica immagine "dome shaped".

 

Alcuni riferimenti bibliografici:

 

Gardner:

 

post-729-0-63892000-1384248787_thumb.jpg

 

Chan:

 

post-729-0-70667900-1384248813_thumb.jpg

 

post-729-0-79371600-1384248818_thumb.jpg

 

post-729-0-44382500-1384248824_thumb.jpg

 

Katranji:

 

post-729-0-37658600-1384248798_thumb.jpg

 

post-729-0-82067400-1384248804_thumb.jpg

 

Acocella:

 

post-729-0-21758800-1384250054_thumb.jpg

 

post-729-0-66234900-1384250064_thumb.jpg

 

post-729-0-79307000-1384250073_thumb.jpg

 

Ziccardi:

 

post-729-0-60396300-1384250095_thumb.jpg

 

post-729-0-10881000-1384250100_thumb.jpg

 

Torretta:

 

post-729-0-48600900-1384250106_thumb.jpg

 

post-729-0-34625900-1384250119_thumb.jpg

 

post-729-0-33920000-1384250114_thumb.jpg

 

Modificato da Giacomo Tarquini
Link al commento
Condividi su altri siti

  • Risposte 18
  • Creato
  • Ultima Risposta

Top Posters In Questo Topic

  • Giacomo Tarquini

    10

  • valerio di grazia

    2

  • Gianluca Bozzolo

    1

  • Giuseppe Lalli

    1

Top Posters In Questo Topic

Alcune delle immagini postate

Giacomo Tarquini
STAFF

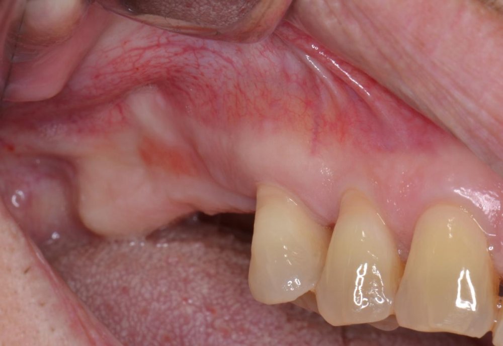
Ecco le immagini cliniche

 

post-729-0-73174000-1384250647_thumb.jpg

 

l' esame CBCT evidenzia un' immagine compatibile con pseudocisti antrale

 

post-729-0-26240300-1384250911_thumb.jpg

 

post-729-0-56534500-1384250953_thumb.jpg

 

scheletrizzazione fino al tuber maxillae e antrostomia con inserti piezoelettrici

 

post-729-0-52659000-1384250727_thumb.jpg

 

post-729-0-66858700-1384250787_thumb.jpg

 

post-729-0-79293900-1384250840_thumb.jpg

 

alla rimozione della botola ossea si evidenzia il decorso dell' A. alveolo-antrale

 

post-729-0-94700200-1384251025_thumb.jpg

 

post-729-0-51057400-1384251386_thumb.jpg

 

lo sportello osseo viene conservato in soluzione fisiologica sterile (e' possibile evidenziare l' impronta dell' A. alveolo-antrale nell' intradosso del bony lid)

 

post-729-0-29126800-1384251148_thumb.jpg

 

post-729-0-24034200-1384251227_thumb.jpg

Modificato da Giacomo Tarquini
Link al commento
Condividi su altri siti

Giacomo Tarquini
STAFF

La tecnica di scelta è stata descritta da Carlo Maiorana.

post-729-0-13507700-1384251579_thumb.jpg

post-729-0-07611900-1384251585_thumb.jpg

post-729-0-96890400-1384251590_thumb.jpg

 

immagini intraoperatorie


post-729-0-11273500-1384251675_thumb.jpg

post-729-0-88035600-1384251772_thumb.jpg

dopo l' agoaspirato la membrana e' finalmente detesa ed e' possibile continuare il suo scollamente e innalzamento 

post-729-0-70410300-1384251861_thumb.jpg

innesto con b-TCP a granulometria differenziata: granuli 1.5 - 2 mm. per la parte piu' interna e granuli 0.5 - 1 mm. per la parte piu' esterna

post-729-0-23169500-1384251940_thumb.jpg

post-729-0-76486300-1384252025_thumb.jpg

ultimato l' innesto si riposiziona la botola ossea secondo la tecnica "Bony Window Repositioning": http://www.odontoline.it/forum/index.php?showtopic=17947&hl=

post-729-0-22787600-1384252097_thumb.jpg

ultimo tempo operatorio e' la sutura, effettuata in ePTFE 4-0 e poliammide 5-0

post-729-0-43947000-1384252252_thumb.jpg

 

controllo OPT

 

post-729-0-91721800-1389773924_thumb.jpg

 

Con questo approccio e' possibile evitare al paziente una doppia chirurgia (nel caso di intervento ORL prima e sinus lift dopo) con una notevole contrazione dei tempi di riabilitazione e favorire una miglior accettazione dell' intervento da parte dello stesso.

un saluto
Giacomo Tarquini 

Modificato da Giacomo Tarquini
Link al commento
Condividi su altri siti

Bellissimo intervento!

 

A vedere la cone beam l'arteria sembrava posizionata piu' verso la cresta invece dalle tue immagini si evince che è piu' alta.

Link al commento
Condividi su altri siti

Fabio Bernardello

Me lo voglio leggere tutto con calma...per intanto ti dico solo questo... :shippy::shippy::shippy:

 

Grande Giacomo, as usual...!!

Link al commento
Condividi su altri siti

Giuseppe Lalli

Complimenti giacomo ! Come sempre intervento magistrale .. Eccellente!! Veramente bravo..

P.s. Ho notato anche io questa grossa discrepanza tra posizione arteria in tac e posizione clinica.. Queste discrepanze possono provare notevoli problemi in fase operatoria .. Come ovviare? Piezo e tanta calma?

Link al commento
Condividi su altri siti

Gianluca Bozzolo

Complimenti Giacomo ,prima o,poi ci dovrai anche spiegare come fai a trovare tutta questa biblio !!!!

Quale è la possibilità che la cisti di riformi ?

Link al commento
Condividi su altri siti

Giacomo Tarquini
STAFF
Cita

Complimenti Giacomo ,prima o,poi ci dovrai anche spiegare come fai a trovare tutta questa biblio !!!!

Quale è la possibilità che la cisti di riformi ?

 

Come ho già detto, si tratta di una pseudocisti che, per definizione, non possiede una sua parete epiteliale (in passato erano definite "cisti non secretorie").

Nella mia casistica non ho mai avuto recidive.

 

Per completezza espositiva, allego uno stralcio del gia' citato lavoro di Torretta e Mantovani

 

Torretta S, Mantovani M, Testori T, Cappadona M, Pignataro L.

Importance of ENT assessment in stratifying candidates for

sinus floor elevation: a prospective clinical study.

Clin. Oral Impl. Res. 00, 2011, 16

 

Accordingly to our experience, the presence of an antral cyst on the sinus floor was also not considered a PREC: if judged

large enough to obstruct the inner natural ostium of the maxillary sinus when lifted with the sinus floor, we advised the oral

surgeon to evacuate it, using a fine needle, before detaching the Schneiders membrane through the vestibular window.

There were no intra- or post-lifting complications nor any signs or symptoms attributable to post-lifting maxillary sinusitis in the patients with no ENT contraindications or those with PRECs.

 

ciao

Giacomo Tarquini 

Modificato da Giacomo Tarquini
Link al commento
Condividi su altri siti

valerio di grazia

Ciao Giacomo,

come sempre grazie per aver condiviso questo bel caso clinico e tutta questa bibliografia!!

Avevo due curiosità:

- è necessario estendersi così mesialmente prima di fare il taglio di scarico?

- ultimamente avevamo chiacchierato di un mio caso (su cui non ho nessun aggiornamento purtroppo perchè il paziente non è andato dall'otorino) e mi sembrava che l'atteggiamento più prudente fosse quello di eliminare prima la lesione sinusale e poi intervenire in seguito...

 

http://www.odontoline.it/forum/index.php?showtopic=18152

 

Come si fa a capire allora quando conviene comunque intervenire senza aumentare i rischi?

 

Grazie, Valerio

Link al commento
Condividi su altri siti

Giacomo Tarquini
STAFF

Ciao Valerio e grazie a te per le domande, assolutamente pertinenti.

 

Cita

 

 

- è necessario estendersi così mesialmente prima di fare il taglio di scarico?

 

Come consigliato dal gruppo di Testori, il particolare disegno del lembo rappresenta un'accortezza fortemente raccomandabile per prevenire la possibilità di lesionare i rami discendenti dal N. Infraorbitario:

 

20201206_121631.thumb.jpg.8bc1a28bedc4ec7ad4c292619c8bd9c8.jpg

 

20201206_121606.thumb.jpg.77187b0ea4ff0e323fb2b66348eb18a3.jpg

 

Questo aspetto riveste una particolare importanza soprattutto in soggetti tendenti alla brachicefalia, come nel caso in oggetto.

 

Cita

 

 

- ultimamente avevamo chiacchierato di un mio caso (su cui non ho nessun aggiornamento purtroppo perchè il paziente non è andato dall'otorino) e mi sembrava che l'atteggiamento più prudente fosse quello di eliminare prima la lesione sinusale e poi intervenire in seguito...

.

La scelta terapeutica e' subordinata ad una corretta diagnosi.

 

Nel caso da me presentato, una volta posta diagnosi di pseudocisti, si trattava di scegliere tra un approccio monofasico (agoaspirato) o un approccio in due tempi.

 

E' stato scelto l' agoaspirato allo scopo di minimizzare i disagi per il paziente.

 

Trovandosi di fronte ad altre patologie (e.g. mucocele, poliposi, ipertrofia di varia entita' o cisti da ritenzione) la terapia sara' ovviamente differente a seconda del caso.

 

Cita

 

 

Come si fa a capire allora quando conviene comunque intervenire senza aumentare i rischi?

 

Per un odontoiatra e' effettivamente non semplice formulare autonomamente una corretta d.d. (oltretutto senza averne titolo).

 

Nel caso da me presentato (cosi' come in tutte le situazioni che presentino patologie sinusali di un certo rilievo) personalmente richiedo sempre un consulto ORL.

 

Nello specifico, sono stato sapientemente orientato verso una diagnosi di pseudocisti; come appare dalle immagini postate, tale diagnosi e' stata poi confermata dal reperto dell' agoaspirato.

 

ciao e grazie

Giacomo

Modificato da Giacomo Tarquini
Link al commento
Condividi su altri siti

  • Giacomo Tarquini ha cambiato il titolo in Sinus Lifting e pseudocisti antrale

Crea un account o accedi per lasciare un commento

Devi essere registrato per lasciare un commento

Crea un account

Iscriviti per un nuovo account nella nostra comunità. È facile!

Registra un nuovo account

Accedi

Sei già registrato? Accedi qui.

Accedi Ora
  • Informazioni sulla vita del Forum

    07/30/02 17:10
    Data di nascita del Forum
    23 anni, 4 mesi, 20 giorni, 18 ore e 47 minuti
    Il Forum esiste da

×
  • Crea Nuovo...