Vai al contenuto
  • Benvenuto su ODONTOline.it - Forum per Odontoiatri

    Benvenuto su ODONTOline, Network dedicato all’Odontoiatria.
    Registrandoti ora avrai accesso a tutte le funzionalità della piattaforma. Potrai creare discussioni, rispondere, utilizzare il sistema di messaggistica privata, inviare messaggi di stato, configurare il tuo profilo... Se già sei un utente registrato, Entra - altrimenti Registrati oggi stesso!

Impiego Sito-specifico di Un Innesto di Tessuto Connettivo in Chirurgia Estetica Mucogengivale


Giacomo Tarquini

Risposte migliori

Giacomo Tarquini
STAFF
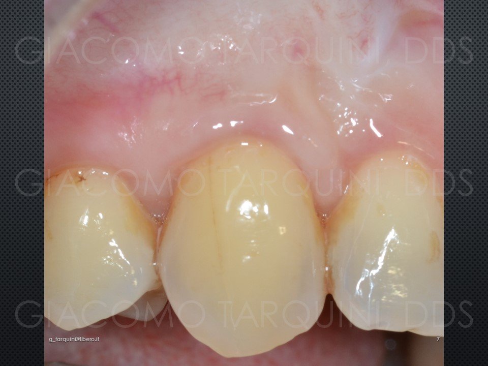
Introduzione:

La terapia delle recessioni gengivali multiple (MGRs) rappresenta una sfida costante per il professionista, sia dal punto di vista chirurgico che per quanto riguarda l'aspetto clinico.. L'associazione di un innesto di tessuto connettivo con un lembo posizionato coronalmente (CAF + CTG) ha dimostrato di poter essere considerato il "gold standard" in termini di percentuali di copertura radicolare completa (CRC) nel trattamento delle recessioni di tipo RT1 MGRs (Zucchelli, J Clin Periodontol 2014). Tuttavia, la questione su quale tipo di recessione applicare un CTG in caso di MGRs rimane tuttora aperta.
Un recente studio ha dimostrato l'efficacia clinica dell'impiego sito-specifico del CTG in associazione con un CAF nella terapia delle MGRs.
Lo scopo è quello di migliorare la percentuale di copertura radicolare completa (CRC) e al contempo ridurre la morbilità dell'intervento grazie alla possibilità di prelevare un CTG di dimensioni ridotte (Stefanini, IJPRD 2018).

Di seguito, un caso clinico eseguito secondo il protocollo sopra citato.

 

Diapositiva1.JPG.2be6be9b82186b698b3052cde5e7612d.JPG

Diapositiva2.JPG.707a8b3c50dddcc927a4446d7ed044a4.JPG

Diapositiva3.JPG.ac563e52e1c279cbb423f3b36f7178de.JPG

Diapositiva4.JPG.2ab0475aa2166bcbe7135b33fad44e77.JPG

Diapositiva5.JPG.5e720edd5e7fb69c65cdd1d956fb7830.JPG

Diapositiva6.JPG.b07420f987b587802b04bec0b93ac811.JPG

Diapositiva7.JPG.822eaa063027b29bdac036c3071161b9.JPG

Diapositiva8.JPG.874a9f4f5e51f64d14365b6dcc6248b6.JPG

 

Conclusioni:

La decisione di impiegare un CTG deve essere ponderata in base alle caratteristiche del tessuto molle apicale alle recessioni gengivali (GRs). L'impiego sito-specifico di un CTG risponde all'esigenza di migliorare il biotipo locale laddove i tessuti molli, a causa della carenza in spessore e/o ampiezza del tessuto cheratinizzato (KT), possano far supporre dei limiti nel raggiungimento e nel mantenimento di una copertura radicolare completa (CRC). Inoltre, riducendo le dimensioni del prelievo, l'applicazione sito-specifica del CTG rappresenta un'opzione preferibile dal punto di vista del contenimento della morbilità.

Per ulteriori approfondimenti: CLICK HERE

Link al commento
Condividi su altri siti

Giacomo Tarquini
STAFF
Inviato (modificato)
J Periodontol
. 2023 Oct;94(10):1200-1209.
 doi: 10.1002/JPER.22-0632. Epub 2023 Apr 29.

Multiple coronally advanced flap with a selective use of connective tissue graft: A 3-year prospective clinical and histological study

Affiliations expand

Abstract

Background: The purpose of the present study was to prospectively evaluate the 3-year changes in the gingival dimensions following multiple coronally advanced flap (MCAF) with selective use of connective tissue graft (CTG). In addition, the secondary aim was to histologically identify the factors related to phenotype changes.

Methods: Twenty patients treated with MCAF and site-specific application of a CTG were available for the 3-year follow-up. Outcome measures included complete root coverage (CRC), recession reduction, keratinized tissue width (KTW), marginal tissue thickness changes, and primary flap position. Biopsies were harvested at one of the sites treated with the adjunct of CTG. All sections were stained with hematoxylin and eosin, Masson trichrome, Verhoeff-van Gieson, tenascin, and alcian blue stain for semiquantitative evaluation.

Results: At 3 years, CRC was detected in 86% of sites treated with MCAF alone and 81% of sites treated with MCAF + CTG. The 47% of sites treated with MCAF + CTG presented an apical shift of primary flap from its original position. Linear regression showed a significant association between KTW change and the initial KTW in MCAF-treated sites, while both initial KTW and position of primary flap were statistically significantly associated factors with KTW changes in the MCAF + CTG group. In all the biopsies examined, there is always a marked and clear separation between the connective tissue of the gingival flap and the palatal connective tissue of the graft.

Conclusions: The selective use of CTG is an effective treatment for multiple gingival recessions. Only a limited increase in KTW can be expected in a bilaminar technique if, during the healing phases, the connective tissue is maintained completely covered.

Modificato da Giacomo Tarquini
Link al commento
Condividi su altri siti

  • 2 mesi dopo...
Giacomo Tarquini
STAFF

Un aggiornamento a 24 mesi dalla chirurgia:

CHIRURGIAMUCOGENGIVALE.jpg.72edca3b881c3c7a9beda84981dbd357.jpg

CHIRURGIAMUCOGENGIVALE2.jpg.106fff807be14ded9fc0bb56a59e9c43.jpg

Link al commento
Condividi su altri siti

Giacomo Tarquini
STAFF

Approccio diagnostico-terapeutico proposto da Zucchelli et al. nel 2011 per l'inquadramento delle recessioni gengivali (GRs) associate a lesioni cervicali non cariose (NCCLs):


Screenshot_20240401_130331_AdobeAcrobat_

Riferimento bibliografico: CLICK HERE

Link al commento
Condividi su altri siti

Crea un account o accedi per lasciare un commento

Devi essere registrato per lasciare un commento

Crea un account

Iscriviti per un nuovo account nella nostra comunità. È facile!

Registra un nuovo account

Accedi

Sei già registrato? Accedi qui.

Accedi Ora
  • Informazioni sulla vita del Forum

    07/30/02 17:10
    Data di nascita del Forum
    23 anni, 2 mesi, 16 giorni, 17 minuti e 51 secondi
    Il Forum esiste da
×
  • Crea Nuovo...