Vai al contenuto
  • Benvenuto su ODONTOline.it - Forum per Odontoiatri

    Benvenuto su ODONTOline, Network dedicato all’Odontoiatria.
    Registrandoti ora avrai accesso a tutte le funzionalità della piattaforma. Potrai creare discussioni, rispondere, utilizzare il sistema di messaggistica privata, inviare messaggi di stato, configurare il tuo profilo... Se già sei un utente registrato, Entra - altrimenti Registrati oggi stesso!


Giacomo Tarquini

Risposte migliori

Giacomo Tarquini
STAFF

INTRODUZIONE:
Viene presentato un caso di rigenerazione ossea guidata attorno a un impianto che aveva perso parte del suo supporto osseo a causa di una pregressa peri-implantite. Le spire esposte vengono decontaminate sfruttando le note proprietà della cavitazione ultrasonica per mezzo del dispositivo “Piezoclean by Dr. Giacomo Tarquini”, mentre la fase rigenerativa viene effettuata secondo il protocollo denominato “Poncho technique”. Questo approccio consente una ricostruzione prevedibile del tessuto osseo senza dover necessariamente rimuovere l'abutment e la protesi al fine di ottenere una guarigione sommersa.

In casi selezionati, questa tecnica permette di mantenere estetica e funzione della riabilitazione protesica su impianti, riducendo al contempo sia l’invasività dell’intervento sia i tempi complessivi della riabilitazione, poiché elimina completamente la necessità di rimuovere e successivamente reinserire sia la corona protesica sia l’abutment.

 

RAZIONALE BIOLOGICO:

Il razionale biologico alla base del dispositivo «PIEZOCLEAN by Dr. Giacomo Tarquini» si fonda sugli effetti biologici - documentati da una imponente numero di pubblicazioni scientifiche negli ultimi decenni - della cavitazione ultrasonica sul biofilm batterico.
A differenza di quanto accade con altri mezzi (chimici, meccanici o manuali) che hanno evidenziato negli anni un’efficacia relativamente modesta, le onde meccaniche causate dalla cavitazione del liquido irrigante sono in grado di raggiungere qualsiasi zona della superficie implantare (anche le nano e microporosità delle attuali superfici in titanio) nonché l’alloggiamento interno della vite di connessione: in questo modo la decontaminazione dell’impianto avviene in maniera completa (sia sulla superficie esterna che al suo interno) senza alterarne la composizione chimico-fisica originaria.

La possibilità di ottenere una decontaminazione completa e predicibile è di estrema importanza nella terapia delle periimplantiti, poiché il fine ultimo della procedura rigenerativa peri-implantare è proprio quello di ottenere un nuovo processo di osseointegrazione («re-osseointegration») in tutto e per tutto identico a quello avvenuto al momento dell’inserimento implantare. 
È stato infatti dimostrato come la possibilità di ottenere una nuova osseointegrazione sia estemamente limitata su superfici tornite e/o che siano state alterate fisicamente o chimicamente mentre avviene in maniera molto piu’ consistente intorno a superfici in titanio microruvide purchè opportunamente decontaminate.
Per massimizzare gli effetti della terapia rigenerativa sarà quindi essenziale riuscire ad ottenere una decontaminazione implantare completa e predicibile mantenendo al contempo inalterate tutte le proprietà di superficie.

 

PROTOCOLLO CHIRURGICO: 

Il protocollo chirurgico di decontaminazione implantare mediante dispositivo “PIEZOCLEAN by Dr. Giacomo Tarquini” è indicato essenzialmente per il trattamento di difetti intraossei che necessitano una terapia di tipo rigenerativo in accordo con i principi della G.B.R. (“Guided Bone Regeneration”).

Il dispositivo “PIEZOCLEAN by Dr. Giacomo Tarquini” consente di eseguire una completa decontaminazione dell’impianto senza alterarne la macro e microgeometria di superficie.

- Sondaggio e valutazione radiografica peri-implantare 
- Sollevamento un lembo a spessore totale adeguato per forma e dimensioni 
- Rimozione del tessuto di granulazione (ove presente) intorno all’impianto e all’interno del difetto intraosseo mediante inserti ES012CT e ES030ACT
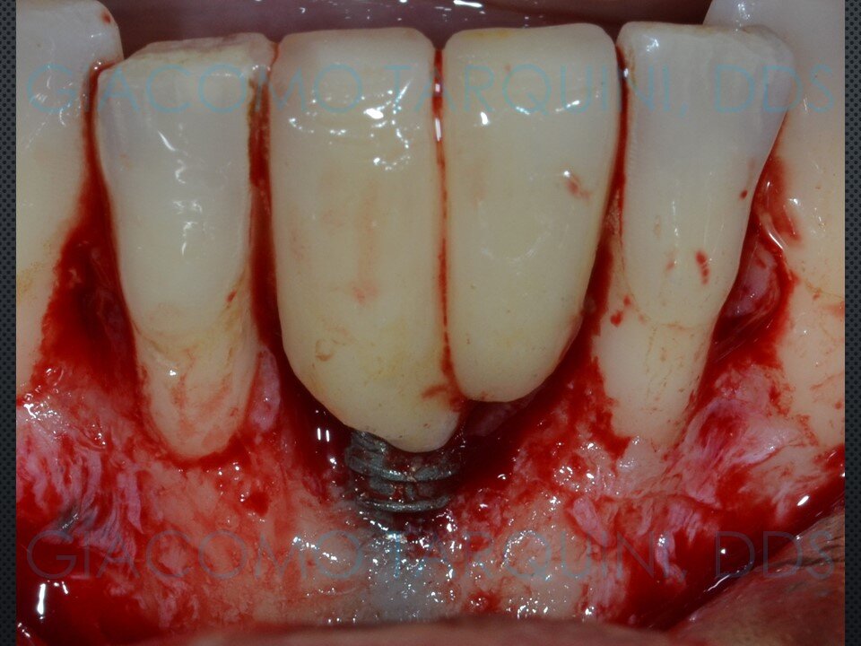
- Rimuovere la vite di copertura (ove presente) allo scopo di decontaminare anche la superficie interna dell’impianto e sostituirla con una sterile al termine di questa fase operatoria 
- Il dispositivo “PIEZOCLEAN by Dr. Giacomo Tarquini” è composto da una parte metallica (inserto) e da una parte in silicone medicale (camera di cavitazione) 
- L’inserto metallico è dotato di appositi micro-fori (un assiale e due laterali) per un’omogenea diffusione del liquido irrigante all’interno della camera di cavitazione 
- Assemblare il dispositivo inserendo la parte in silicone (camera di cavitazione) sull’inserto metallico 
- Adattare la camera di cavitazione intorno alla porzione esposta dell’impianto da trattare in modo da creare uno spazio chiuso all’interno del quale il liquido irrigante possa andare in cavitazione; è raccomandabile evitare il contatto tra l’inserto metallico e la testa dell’impianto 
- Azionare il dispositivo a ultrasuoni (Esacrom Moto o Surgysonic) per un tempo di 3’ impostando i seguenti parametri: U 40 - V 80 - P 50. Non è necessario che la camera di cavitazione abbia un sigillo completo sulla cresta ossea
- Eseguire il protocollo rigenerativo di scelta (ad es. mediante membrane di tipo riassorbibile o non riassorbibile) 
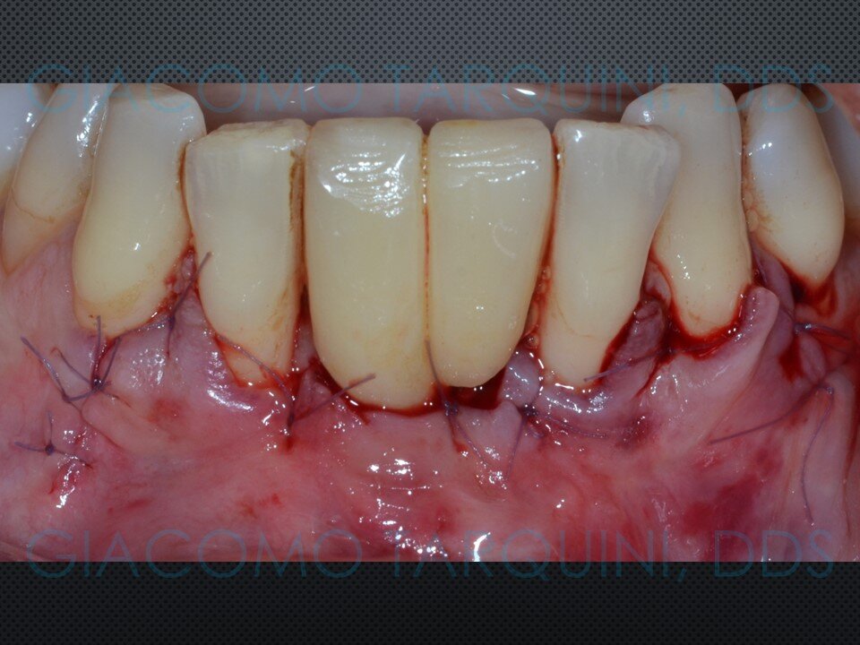
- Sutura dei lembi in accordo con la tecnica selezionata 
- Rientro chirurgico e follow-up radiografico per valutare il grado di rigenerazione ossea ottenuta 

Da questo link è possibile scaricare il protocollo chrurgico: TARQUINI PIEZOCLEAN EN.pdf

 

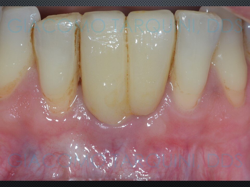
CASO CLINICO:

Diapositiva1.JPG.7004e86ff4ac6c648e40f9eaeb04da3a.JPG

PERIIMPL_PIEZO_NEW_CASES2.jpg.f2e1b99543acb16ff30b97a4b5daa3f8.jpg

Diapositiva2.JPG.c54fcec08b9229a282e7046ba423b2d8.JPG

Diapositiva3.JPG.04d4920be2747de99c656afc086aa6b7.JPG

PERIIMPL_PIEZO_NEW_CASES.jpg.b841ad736fb941f27034dfbb3f7753d1.jpg

Diapositiva4.JPG.031171dfefb2956d096c8abf1f5afb04.JPG

Diapositiva5.JPG.64f48c2bc5503d4a0ece078ae78507bc.JPG

Diapositiva6.JPG.ef7a1fc34c491ca6b500cc34f37a1a9b.JPG

Diapositiva7.JPG.138d3a6c92c7226d6ffa67549124f02a.JPG

Diapositiva8.JPG.005e00a0f49f32b73636d6c903f8a919.JPG

Diapositiva9.JPG.61485089e3a5ec85e78fffd1fad09cd5.JPG

Diapositiva10.JPG.9a940fbbd91e93acb3b193f9b4acd177.JPG

Diapositiva11.JPG.f00eaa84c2a55f47aeb64ca530a562f7.JPG

Diapositiva12.JPG.2050c5e997a2052a76dee3ec0b69a968.JPG

Diapositiva13.JPG.0cc540c49af3b9e91285a2def66ff946.JPG

Diapositiva14.JPG.62522b6bc21cf624194e7d701f02685b.JPG

Diapositiva15.JPG.75adc05b4f48615c97a9e85777cfbb4a.JPG

PERIIMPL_PIEZO_NEW_CASES3.jpg.3a42def9eb547e65bcb0874bebf324e0.jpg

Diapositiva18.JPG.aec3a84cc908f2589427e87cc6cbe5f7.JPG

 

CONCLUSIONE:
La decontaminazione della superficie implantare con il dispositivo “Piezoclean by Dr. Giacomo Tarquini”, combinata con il protocollo noto come “Poncho technique”, consente una ricostruzione prevedibile del tessuto osseo attorno a un impianto affetto da perimplantite. Questo approccio comporta una significativa semplificazione delle fasi chirurgiche e una bassa morbidità operatoria, riducendo al contempo in modo sostanziale i tempi complessivi della riabilitazione.

 

PER ULTERIORI APPROFONDIMENTI: CLICK HERE

Modificato da Giacomo Tarquini
  • Mi Piace 1
Link al commento
Condividi su altri siti

Giacomo Tarquini
STAFF

Ho aggiornato il caso clinico con ricostruzione Panorex + sondaggi parodontali pre e post-operatori.

un saluto

Giacomo Tarquini

Link al commento
Condividi su altri siti

  • 4 settimane dopo...
Giacomo Tarquini
STAFF

Riferimento bibliografico sul protocollo Piezoclean by Dr. GiacomoTarquini:

Regenerative Reconstructive Treatment of A Peri- Implantitis Case: New Perspectives for Implant Surface Decontamination


PIEZOCLEAN_CORSO_57058.jpg

Barbagallo G, di Gregorio F, Monaca G, Alì G, Porto V, et al. (2024) Regenerative Reconstructive Treatment of A PeriImplantitis Case: New Perspectives for Implant Surface Decontamination. J Surg 9: 1984. https://doi.org/10.29011/2575-9760.001984

Link al commento
Condividi su altri siti

Crea un account o accedi per lasciare un commento

Devi essere registrato per lasciare un commento

Crea un account

Iscriviti per un nuovo account nella nostra comunità. È facile!

Registra un nuovo account

Accedi

Sei già registrato? Accedi qui.

Accedi Ora
  • Informazioni sulla vita del Forum

    07/30/02 17:10
    Data di nascita del Forum
    23 anni, 5 mesi, 17 giorni, 11 ore e 34 minuti
    Il Forum esiste da
×
  • Crea Nuovo...